Immunohistochemistry (IHC) is a widely used method for detection of antigens (mainly proteins) in frozen or paraffin-embedded tissue sections. IHC exploits the principle of antibodies binding specifically to antigens. The histochemical demonstration of different enzymes or fluorescent dyes linked to antibody (e.g. peroxidase, alkaline phosphatase, FITC, Texas Red, etc.) serve as the detection system. At TPA, IHC is used for detection of proliferating cells, apoptotic cells, cell type markers, tumor markers, hormones and hormone receptors, oncoproteins, oncosupressor proteins, lymphoid markers, growth factors and their receptors, virus proteins, etc.
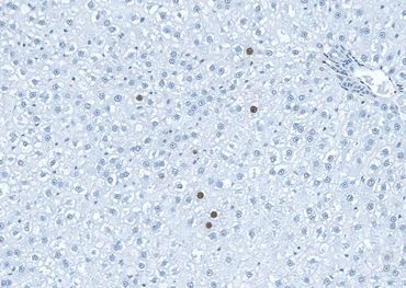
Kupffer cells in mouse liver (HIS36 IHC, frozen section). x80
01/24
Enumerating ovarian follicles is an effective way to estimate the extent of ovarian toxicity in female rodents exposed to xenobiotics. Differential follicle counts are useful in safety assessment bioassays and in interspecies extrapolation of ovarian toxicity. Counting the follicles in H&E-stained sections is labor intensive, tedious, and costly. Here, at TPA, we demonstrated that in rat formalin-fixed, paraffin-embedded ovary sections follicles of all degrees of maturity can be visualized by the use of antibody directed against proliferating cell nuclear antigen (PCNA). Follicles are easily distinguished from ovarian background with the ability to detect and identify primordial follicles being enhanced. This translates into a significant decrease in variability of follicle counts, labor, and cost.

PCNA-stained oocytes of primordial follicles in rat ovary (PCNA IHC). x160
ALI models create a fully differentiated, in vivo-like human bronchial epithelium. They provide a potential means to generate relevant data for evaluation cigarette smoke toxicity.

Proliferating cells in human ALI model (Ki67 IHC), x 160

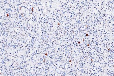
Apoptotic bodies in human ALI model (Cleaved caspase-3 IHC), x160

Involucrin positive cells with signs of squamous differentiation in human ALI model (Involucrin IHC), x160
In situ hybridization (ISH) techniques allow detection of specific nucleic acid sequences in morphologically preserved cells or tissue sections. In combination with IHC, ISH can provide microscopic topological information about gene activity at the DNA, mRNA, and protein level.

Non-radioactive ISH for CYP1B1 mRNA, human brain. x40

Non-radioactive ISH for histone mRNA, mouse spleen. x100
Currently used apoptosis assays include Terminal Deoxynucleotidyl Transferase Mediated dUTP Nick End Labeling of DNA (TUNEL) and Caspase-3 immunohistochemistry. DNA fragmentation is a part of ultrastructural changes that are associated with apoptosis. In TUNEL assay, the DNA strand breaks are detected by enzymatically labeling the free 3’-OH termini with modified nucleotides.
TPA currently uses proliferation assays that include Ki67, PCNA, BrdU IHC and In Situ Hybridization for Histone mRNA.





IHC-stained sections are scanned and digital images are obtained by Aperio Scanscope System (Aperio Technologies, Inc., Vista, CA). In these images, intensity of staining, proportion of immunostained area and other parameters are evaluated with Positive Pixel Count Algorithm. This algorithm quantifies the amount of specific stain present in a digital image by evaluating average intensity of all pixels (Iavg); values of Iavg are then used to calculate optical density (OD). The Nuclear Algorithm evaluates numbers (%) of positively stained nuclei and quantifies the average staining intensity in individual cells.











When performing IHC on very thick tissue sections (~40µm) free-floating is the method of choice. This allows for better penetration of the antibodies and 3-D reconstruction of large structures such as axonal projections or vessels.

Each brain is sectioned into a 24 well plate. With each of the 24 wells containing sections representative of the entire brain. ~12-15 sections per well

One well from the 24 well plate is sorted into 3 wells on in a 12 well plate for staining. ~4-6 sections per well.

After staining is complete the sections are placed onto slides using a paint brush. Each well corresponds to one slide.


This is an excellent technique for quantifying total amounts of specific proteins in any tissue. This technique is a useful alternative to IHC when the exact location of the protein is not needed, only the quantity.

Western blot of protein from hippocampus cell lysates, synaptophysin (green, 38kDa) and beta actin (red, 42kDa).